Dental Composite Bonding in Abu Dhabi

Composite Bonding

Transform Your Smile with a Simple, Non-Invasive Solution

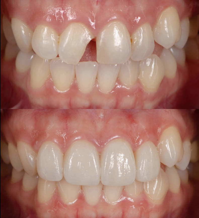
Composite bonding, also known as cosmetic bonding or direct bonding, is a minimally invasive cosmetic dental procedure designed to enhance the appearance of your teeth. Using a toothcolored composite resin, we can correct imperfections such as chips, cracks, discoloration, and gaps—without the need for drilling or shaving your natural teeth.

Why Choose Composite Bonding?

Instantly Enhances Your Smile – Corrects chips, cracks, discoloration, and irregularities for a flawless look.

Minimally Invasive – Preserves your natural tooth structure with no drilling or enamel removal.

Seamless & Natural Appearance – The color-matched composite blends perfectly with your teeth.

Cost-Effective Solution – More affordable than veneers or crowns, while still delivering noticeable results.

Durable & Long-Lasting – With proper care, bonding can last for several years, maintaining your beautiful smile.

One of the greatest advantages of composite bonding is its versatility. Whether you need to repair a chipped tooth, close small gaps, or improve tooth shape, bonding offers a fast and effective solution with a completely natural finish.

Teeth Bonding in Abu Dhabi
Composite Bonding Process

The Composite Bonding Process

Step 1: Shade Matching

We carefully select a composite resin that matches your natural teeth for a flawless blend.

Step 2: Tooth Preparation

A light etching and conditioning liquid are applied to help the resin bond securely.

Step 3: Application & Shaping

The composite resin is skillfully applied, sculpted, and molded to achieve the perfect shape.

Step 4: Hardening

A special curing light is used to harden the material, ensuring durability.

Step 5: Polishing & Finishing

We refine and polish the bonded tooth for a smooth, natural looking finish.

With good oral hygiene and routine check-ups, composite bonding can provide long-lasting results. While it may need occasional touch-ups over time due to normal wear, it remains an excellent, non-invasive option for achieving a beautiful, confident smile.

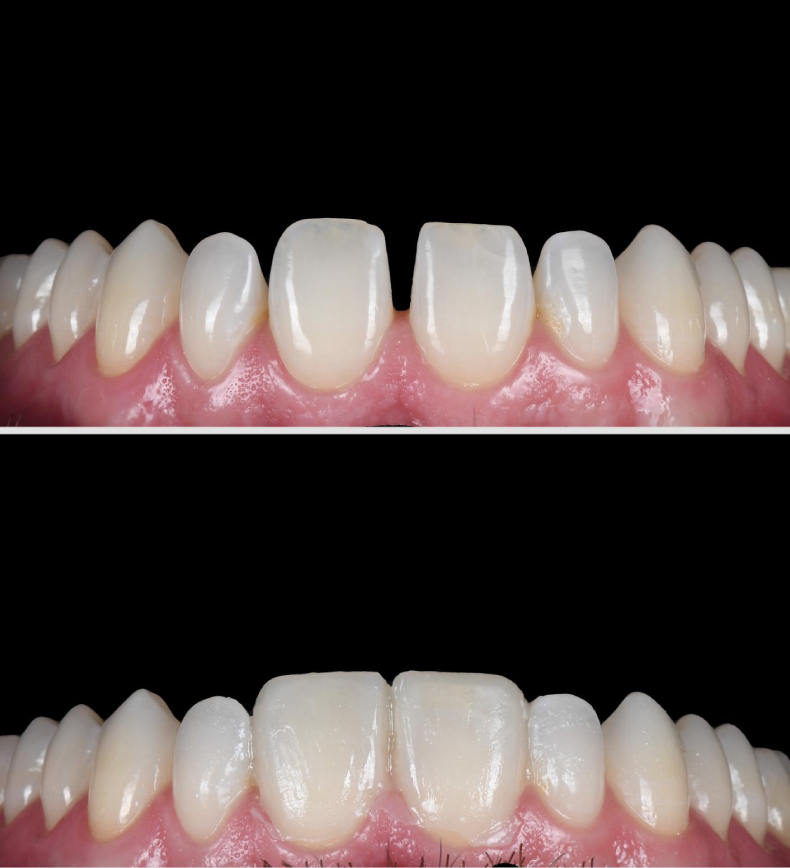
Before & After

Composite Bonding Before and After

Our Smile Transformation Gallery

FAQs - Composite Bonding

Composite bonding can last anywhere from 3 to 7 years, depending on your oral hygiene, diet, and habits like teeth grinding or biting hard objects.

No, the procedure is completely painless and does not require anesthesia since no drilling or enamel removal is needed.

Teeth whitening treatments do not work on composite resin, so it's recommended to whiten your teeth before bonding if you're looking for a brighter smile.

While the material is stain-resistant, frequent consumption of coffee, tea, red wine, and tobacco can cause discoloration over time. Regular cleanings and proper oral care can help prevent staining.

Composite bonding is a quicker, more affordable, and non-invasive alternative to veneers. However, veneers are more durable and resistant to staining. Your dentist will help determine the best option based on your needs.

Maintain your bonded teeth by brushing twice a day, flossing daily, avoiding biting on hard objects, and visiting your dentist regularly for check-ups.

Where Healthy Smiles Begin
Schedule Your Appointment Today