Your gums are just as important as your teeth when it comes to maintaining a healthy, beautiful smile. If your gums are swollen, red, or bleed easily, it could be a sign of gum disease. Without proper treatment, gum disease can lead to tooth loss and affect your overall oral health.
At Marigold Dental and Orthodontic Clinic, we provide expert gum care to prevent, treat, and manage periodontal disease, helping you maintain strong gums and a confident smile.
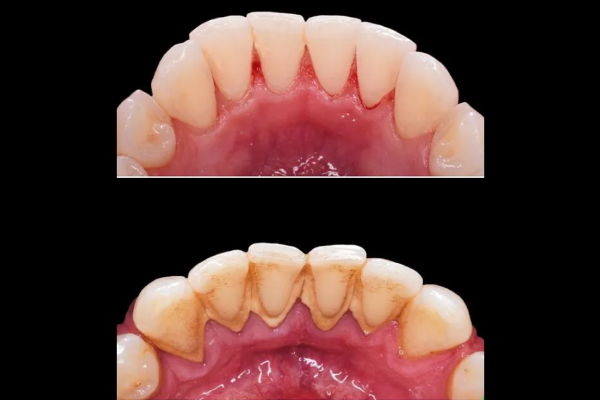
Gum disease, also known as periodontal disease, occurs when plaque and tartar build up along the gumline, leading to infection and inflammation. It begins as gingivitis, a mild form of gum disease that causes swollen, red gums that may bleed during brushing or flossing. If left untreated, it can progress to periodontitis, a more serious condition that can cause gum recession, bone loss, and even tooth loss.
If you notice any of the following symptoms, it’s important to schedule a dental check-up as soon as possible:

We provide scaling and root planing (deep cleaning) to remove plaque and tartar buildup, helping to stop the progression of gum disease and promote healing.

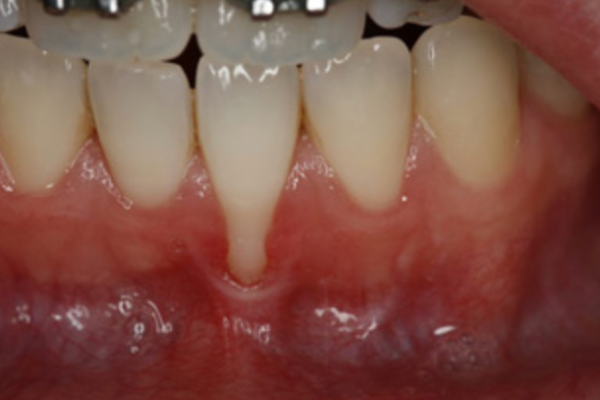
Gum recession exposes the roots of your teeth, leading to sensitivity and an increased risk of decay. We offer gum grafting procedures to restore lost gum tissue and protect your teeth.

If you feel your gums are too prominent when you smile, our laser gum contouring or surgical procedures can reshape your gumline for a balanced, aesthetically pleasing smile.

For patients who have lost teeth due to gum disease, dental implants provide a long-term solution to restore both function and appearance.

For patients with a history of gum disease, we provide ongoing care and periodontal maintenance cleanings to prevent recurrence and keep your gums healthy.
Expert Periodontal Care
Our specialists are experienced in treating mild to severe gum disease.
Advanced Technology
We use the latest techniques and laser dentistry for precise, pain-free treatment.
Personalized Treatment Plans
We tailor each treatment to your unique needs and concerns.
Comfortable, Stress-Free Experience
Your comfort is our priority, with gentle care and sedation options available.
Yes! In its early stage (gingivitis), gum disease can be reversed with professional cleaning and good oral hygiene habits. However, advanced periodontitis requires specialized treatment to manage the condition.
Most gum treatments are painless, especially with modern techniques and anesthesia. You may experience mild discomfort after deep cleaning or surgical procedures, but this is temporary.
Brushing twice daily, flossing regularly, using an antibacterial mouthwash, and visiting your dentist for regular check-ups can help prevent gum disease.
If your gums are receding and exposing the roots of your teeth, you may need gum grafting to prevent further damage and sensitivity. Your dentist will assess your condition and recommend the best treatment.
If you have healthy gums, visiting your dentist every six months for a check-up and cleaning is recommended. If you have gum disease, you may need more frequent visits for periodontal maintenance.