Temporary and Permanent Tooth Gap Fillings in Abu Dhabi

Dental Fillings

Restore and Protect Your Smile

Cavities, fractures, and worn-down teeth can impact both your oral health and confidence. At Marigold Dental & Orthodontic Clinic, we offer high-quality dental fillings that not only restore the function of your teeth but also blend seamlessly with your natural smile.

Using advanced techniques and premium materials, our expert dentists ensure a comfortable, durable, and aesthetic solution for damaged teeth—giving you a healthier, more radiant smile.

What Are Dental Fillings?

Dental fillings are restorative materials used to repair minor to moderate tooth damage caused by decay, fractures, or wear. They restore strength, function, and aesthetics, preventing further deterioration and keeping your smile intact.

Dental Filling Procedure: A Step-by-Step Guide

1. Examination & Diagnosis Your dentist will conduct a thorough examination, using digital X-rays if needed, to determine the extent of decay and the best filling material for you.

2. Numbing for Comfort: A local anesthetic is applied to ensure a pain-free experience throughout the procedure.

3. Removing Decay & Preparing the Tooth The damaged part of the tooth is gently removed, and the area is cleaned to prevent bacteria buildup.

4. Filling Placement: The chosen filling material is precisely applied in layers, shaped, and hardened using a special curing light for durability.

5. Final Shaping & Polishing: Once the filling is in place, it is carefully shaped to match your bite and polished for a smooth, natural finish.

Best Dental Filling in Abu Dhabi
Best Teeth Filling in Abu Dhabi

Why Choose Marigold Dental for Your Fillings?

Aesthetic, Tooth-Colored Fillings

We use composite and porcelain materials for seamless results.

Pain-Free, Gentle Treatment

Advanced techniques ensure a comfortable experience.

Durable & Long-Lasting

Our high-quality materials provide strength and longevity.

Experienced & Caring Dentists

Personalized care to meet your unique dental needs.

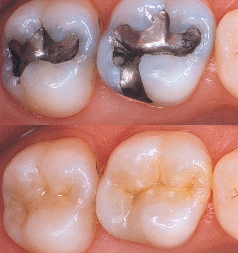
Our Smile Transformation Gallery

FAQs For Dental Fillings

With proper care, composite fillings can last 5-10 years, while porcelain or gold fillings may last 15 years or more. Regular dental checkups help maintain their longevity.

No! We use local anesthesia to ensure a completely pain-free procedure. You may feel slight pressure, but no pain.

We generally recommend a professional cleaning every six months to maintain optimal oral health. However, some patients with a higher risk of gum disease may benefit from more frequent cleanings.

Maintain good oral hygiene—brush twice daily, floss regularly, and schedule routine dental visits. Avoid chewing on hard foods like ice or candies to prevent damage.

Untreated cavities can worsen over time, leading to infections, pain, and even tooth loss. Early treatment with a simple filling can prevent costly and complex procedures like root canals or extractions.

Fix Cavities & Cracks with Teeth Filling in Abu Dhabi

Ever had that moment when you bite into something sweet or cold, and a sharp zing shoots through your tooth? Or maybe you’ve spotted a tiny black spot that wasn’t there before? That’s your tooth’s way of whispering, “Hey, I need a little help.”

At Marigold Dental in Abu Dhabi, we believe a cavity or crack doesn’t have to steal your comfort or your confidence. With our gentle teeth filling treatments, we restore not just your tooth, but also your peace of mind. Think of it as giving your tooth a second chance to shine.

When Do You Really Need a Dental Filling?

Here’s the thing: cavities don’t always hurt right away. In fact, most people don’t notice them until they’ve already grown bigger. According to studies, over 90% of adults worldwide have had at least one cavity in their lifetime.

So how do you know it’s time for a filling? Watch out for these little signs:

  • Sensitivity when sipping hot coffee or cold juice.
  • Pain when chewing your favorite snack.
  • A chip or crack you can feel with your tongue.
  • Tiny holes, dark spots, or even the need for a small teeth gap filling.

It’s probably time to consider a dental filling. The earlier you act, the easier it is to fix, saving you from more extensive treatments later on.

Which Type of Dental Filling Is Right for You?

Not all fillings are the same, and that’s where modern dentistry gives you options. There are different types of dental fillings, including composite, porcelain, resin, and traditional amalgam. Each offers its own balance of strength, durability, and appearance.

For example, many patients prefer tooth-colored fillings because they blend in naturally with their smile and are almost invisible, even when viewed up close. Your dentist will help you choose what works best for your lifestyle and dental needs.

How Dental Fillings Protect Your Teeth

Why do so many smiles rely on dental fillings?

  • Restore the strength and structure of your tooth.
  • Stop cavities from spreading.
  • Blend in naturally with tooth-colored filling options.
  • Quick, simple, and usually pain-free.

Things to remember:

  • Fillings may wear down over time.
  • Some materials aren’t as natural-looking as others.
  • Replacements may be needed after a few years.

But don’t worry, you’ll never have to figure it out alone. Your dentist will guide you toward the option that best suits your needs.

How to Make Your Filling Last Longer

Getting a filling is just the start; keeping it strong is where you come in. With simple care, your filling can last for years:

  • Brush and floss daily like your smile deserves it.
  • Don’t crunch on ice or super-hard candies.
  • Visit your dentist for regular check-ups.
  • Pay attention to any changes; your teeth always speak up.

These little steps ensure your filling stays strong for years to come. Seeing before and after teeth filling results will remind you just how powerful a small treatment can be.

How Much Does a Dental Filling Cost in Abu Dhabi?

The cost of dental fillings in Abu Dhabi depends on the size of the cavity and the type of material used. Composite, porcelain, resin, or amalgam, they all come with different price tags. At Marigold Dental, we keep it transparent and fair, so you know exactly what to expect.

Why Choose Marigold for Restorative Dentistry in Abu Dhabi?

When it comes to restorative dentistry in Abu Dhabi, people don’t just choose us for our experience; they choose us because of the care we provide. From the moment you step in, we listen, guide, and ensure every filling feels just right. It’s not just about fixing teeth, it’s about restoring smiles and confidence.

Book Your Dental Filling in Abu Dhabi Today

A tiny cavity today can turn into a root canal tomorrow (and nobody wants that!). Don’t wait until the pain takes over. Book your session at Marigold Dental and enjoy a healthier, happier smile with gentle, trusted care.

Where Healthy Smiles Begin
Book Today For Quality Care
WE’D LOVE TO MEET YOU
Book Your Next Visit Today
Clinic Hours
Monday - Friday: 9:00 AM - 8:00 PM
Saturday: Closed
Sunday: 9:00 AM - 8:00 PM
Contact Us

Danet Tower B - M-floor, Office No. 1 - building No. 23 Al Inshirah Street - Al Sa'adah - Zone 1 - Abu Dhabi - United Arab Emirates

info@marigolddentaluae.com

+971 26414020‬

+971 56 180 0807

© 2025 Marigold Dental & Orthodontic Clinic | Powered by artxpro

Where Healthy Smiles Begin
Schedule Your Appointment Today